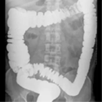
Ti spiego la colon

Ti spiego la colon

Una campagna estremamente divulgativa spiega ai pazienti come prepararsi alla colonscopia e perché non bisogna averne paura.
Il doppio intreccio tra fegato e intestino

Il doppio intreccio tra fegato e intestino

Fegato e intestino sono due organi strettamente legati, tanto che la ricerca ha individuato spesso come malattie epatiche si riflettano nell’intestino e viceversa e che la modulazione del microbiota possa aiutare in determinate patologie come nell’encefalopatia epatica
Allergie alimentari, che fare? Risponde il Ministero

Allergie alimentari, che fare? Risponde il Ministero

Quando un bambino dopo i pasti ha un rush cutaneo o altra reazione potenzialmente avversa al cibo, la famiglia precipita in un clima di insicurezza e frustrazione: i genitori hanno bisogno di rassicurazioni immediate in merito all’esistenza o meno di un’allergia alimentare.
Stipsi: diagnosi differenziale – Criteri di Roma IV

Stipsi: diagnosi differenziale – Criteri di Roma IV

La stipsi è un sintomo associato a vari disturbi funzionali gastrointestinali. Dal documento della Rome Foundation, una raccolta dei criteri diagnostici di alcuni quadri clinici, fra cui IBS e stipsi da oppioidi.
Per un cambio di stagione senza scosse

Per un cambio di stagione senza scosse

Spesso al cambio di stagione, con la variabilità del clima e delle temperature e l’allungamento delle giornate, l’organismo, e l’intestino in particolare, ne può risentire.
Full list First page Previous group Previous page 1 | 2 | 3 | 4 | 5 | 6 | 7 Next page Next group Last page
🕑